瀏覽輔助設定
×
顏色設定:
黃字黑背景
無彩色
預設色彩
如『您的瀏覽器不支援JavaScript功能,若網頁功能無法正常使用時,請開啟瀏覽器JavaScript狀態』
關鍵字搜尋
熱門:
免費課程
,
福利補助
,
新北市無線上網
進階搜尋
市府網站連結
×
新北市府位置
×
新北市府LINE
×
進入內容區塊
:::
網站導覽
|
ENGLISH
|
常見問答
大
中
小
瀏覽輔助設定
搜尋
選單
網站導覽
|
ENGLISH
|
常見問答
大
中
小
瀏覽輔助設定
搜尋
關於新北
新北介紹
地理氣候
人口概況
交通概述
文化
姊妹市及友好城市
地方沿革
新北市標誌
市樹市花
市府團隊
市府組織
市政府
各機關
區公所
市府榮耀
聯絡我們
市府消息
市政新聞
新聞花絮
市政公告
主題活動
活動訊息
市府徵才
網站瀏覽安全指引
RSS訂閱
市政資訊
施政計畫
施政成果
出國報告
市政會議紀錄
市政會議專題報告
新北市SDGs網站
法規函令
預算與決算
總預算
總決算
附屬單位預算及綜計表
附屬單位決算及綜計表
統計資訊
議員所提地方建設建議事項
對民間團體補(捐)助
民生統計速報
性別統計專區
專題分析
物價調查
家庭收支調查
衛生檢測
重大職業災害統計
統計資料庫
開放資料
電子報及刊物
政府資訊公開
市府公報
電子布告欄
機關通訊
便民服務
市民申辦/申訴等查詢
申辦e服務
行動APP
公有不動產標租資訊
跨區服務網
路平報馬仔
福利補助自己查
公有場地租借
二代智慧里長服務
智能客服
主題服務
熱門
動物認養
公設認養
網站連結
行動APP
LINE官方帳號
常見問答
WIFI熱點
參與式預算
同婚登記權益
我的E政府
生育
孕前保健
生育獎勵
身心障礙者懷孕手冊
醫療保健
育兒托育
學前補助
教育
幼兒
國小
國高中
特殊教育
社會教育
勞工大學
數位學院
松年大學
婦女大學
國際教育資源網
學習階段資源
戶政
戶籍登記申辦須知
服務時間
戶政規費收費標準
戶籍罰鍰處罰金額基準表
異地申辦項目
兵役
就業
就業資訊
勞工大學
市府徵才
職訓補給站
原住民人力資源網
工商
工商投資簡介
工商服務
促參招商網
醫療
疾病管制
慢性疾病防治組
衛生所入口網
醫療院所
醫療篩檢
社福
幸福保衛站
社會救助
老人福利機構
脆弱家庭服務
社會福利服務中心
警消
警政服務
警察分局與大隊
消防分隊
婦幼安全
防災資訊
水域安全宣導
住宅
地政資訊查詢
城鄉資訊系統
都市更新
居住服務
生活
市場購物
新北市iMAP
氣象資訊
動物認養
樹木保護專區
交通
即時路況
公車資訊
免費新北市新巴士
新北捷運
新北市公共自行車(YouBike)
新北市酒後代駕業者資訊
休閒
運動場館介紹
運動地圖
河濱公園綠地
運動場館租借
觀光旅遊
藝文活動
環保
垃圾清運查詢
各區清潔隊專線
資源回收資訊網
新住民
新住民學習中心
移民服務
新住民72小時華語成教班
新北市新住民子女獎助學金
新住民一站式服務
愛心大平台新住民關懷計畫
:::
首頁
市府消息
市政新聞
市政新聞
發佈日期:
2026-02-06
發佈單位:
新北市政府動物保護防疫處
類 別:
機關新聞
小虎斑白貓車禍骨折險跛腳,新北動保處治療後找到認養家庭
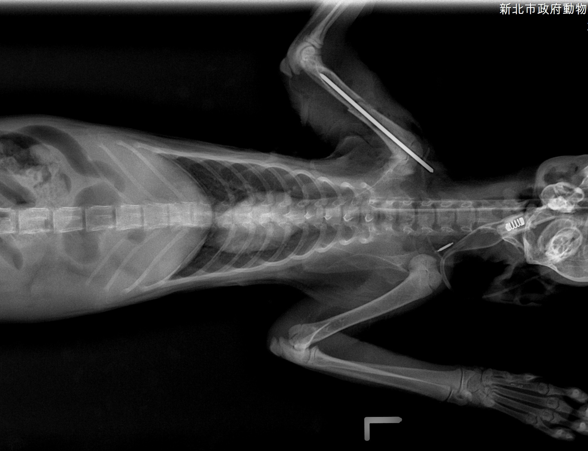
【新北市訊】新北市動保處日前接獲通報新店區安祥路有隻虎斑白貓,疑似車禍受傷臉部充滿血漬癱臥路旁,動保處隨即派員將受傷白虎斑貓帶回毛寶貝醫療中心進行檢傷醫療,經醫療中心李獸醫師檢查後,發現虎斑白貓上顎有傷口、右前肢蜷縮無法撐地,X光檢查下發現右前肢肱骨交錯性骨折,肺部支氣管炎症反應嚴重,應該天氣驟變肺部感染、貓活動力變差不甚由高處摔落或車禍所造成,虎斑白貓經過緊急輸液、給氧及骨科手術治療後已恢復健康,由住在新莊的巫小姐認養,有了幸福溫暖的家。
動保處獸醫師李建沛表示,根據毛寶貝醫療中心傷病動物案例顯示,貓咪常因為高處不甚摔落、車禍而造成不同程度的傷害,尤其以顏面受創及肢體骨折居多,若胸腔受創嚴重造成橫膈破裂,則須緊急進行手術治療才能避免猝死,這隻虎斑白貓研判可能是連日天雨視線不佳遭車輛擦撞,造成前肢肱骨骨折及臉部上顎受創,所幸臉部傷勢不嚴重,骨折部位經過手術治療後已回復行走及跳躍功能,很高興牠找到了幸福溫暖的家。
動物醫療中心陳姓動保員表示,虎斑白貓剛來醫療中心時,雖然行動不便,但我只要一靠近住院籠,他都會奮力地拖著身體過來討摸摸,然後每天努力地吃飯及理毛模樣可愛極了,所以我們都叫他「萌萌」,所幸牠食慾不錯,都有按時吃飯及吃藥,當我們發現萌萌可四腳撐地行走自如時,大家都很高興萌萌恢復健康了。巫姓飼主表示,聽到小虎斑白貓受傷治療及復健的情況後,很心疼牠之前的遭遇,她一定會注意外出安全避免萌萌再次受傷、好好疼牠給牠一個溫暖安全的家。
新北市動保處表示,任何動物的生命都是非常寶貴,都值得我們盡全力來拯救保護,民眾若遇到需救援的動物,可撥打「1959」動保專線或動保處24小時通報電話(02-29596353)報案,動保處設有毛寶貝醫療中心,能提供妥善收容安置及醫療照護,讓毛寶貝們在受難時得到幫助,另外,動保處也鼓勵民眾到各公立動物之家認養動物,認養犬貓可享有免費醫療諮詢、疫苗注射等各式優惠福利,如欲了解更多認養資訊,可查詢動保處官網或加入「新北市動物保護防疫處」粉絲專頁(https://www.facebook.com/tpc58801)。
資料詳洽:
新北市政府動物保護防疫處 謝侑達秘書 電話2959-6353分機302 手機0928-778-137
聯絡人:
謝侑達
聯絡單位:
新北市政府動物保護防疫處
聯絡電話:
02-29596353轉302
小虎斑白貓手術後復健賣萌中
小虎斑白貓前肢骨折等待手術中
小虎斑白貓骨折手術中
小虎斑白貓骨折手術後的X光片
小虎斑白貓康復後等待認養中
小虎斑白貓悠閒在新家中
相關圖片
小虎斑白貓手術後復健賣萌中
小虎斑白貓前肢骨折等待手術中
小虎斑白貓骨折手術中
小虎斑白貓骨折手術後的X光片
小虎斑白貓康復後等待認養中
小虎斑白貓悠閒在新家中
展開/收合
關於新北
新北介紹
市府團隊
市府榮耀
聯絡我們
市府消息
市政新聞
新聞花絮
市政公告
主題活動
活動訊息
市府徵才
網站瀏覽安全指引
RSS訂閱
市政資訊
施政計畫
施政成果
市政會議紀錄
市政會議專題報告
新北市SDGs網站
法規函令
預算與決算
統計資訊
開放資料
電子報及刊物
政府資訊公開
市府公報
電子布告欄
機關通訊
便民服務
市民申辦/申訴等查詢
申辦e服務
行動APP
公有不動產標租資訊
跨區服務網
路平報馬仔
福利補助自己查
公有場地租借
二代智慧里長服務
智能客服
主題服務
熱門
生育
教育
戶政
就業
工商
醫療
社福
警消
住宅
生活
交通
休閒
環保
新住民
gotop